На протяжении последних нескольких десятилетий во всем мире отмечается значительный рост распространенности мочекаменной болезни (МКБ), при этом в основном мочевые камни представлены смешанными неорганическими соединениями с преобладанием солей кальция (оксалаты, фосфаты, карбонаты), тогда как мочекислые и магнийсодержащие конкременты обнаруживают несколько реже. Целью лечения МКБ на современном этапе развития медицины является не только элиминация конкремента, но и нивелирование причин, способствовавших его образованию, в том числе – метаболических нарушений. Единственным известным патогенетическим метфодом лечения в данной ситуации является применение цитратной терапии, как для лечения, так и метафилактики заболевания: введение цитрата позволяет повлиять на основные механизмы литогенеза, позволяя добиться растворения смешанных и уратных конкрементов, а также предотвратить дальнейший рост оксалатных камней.
ЦИТРАТ – что, как и почему?
Цитрат – это соль, образующаяся при соединении лимонной кислоты с каким-либо основанием. Органические соли хорошо растворяются в воде, что обуславливает их высокую биоусвояемость. Цитрат участвует в цикле Кребса (цикле распада органических молекул, позволяющий высвобождать из этих молекул энергию, необходимую для работы тела). Цитрат натрия и калия способен образовывать растворимые комплексы с кальцием и препятствовать образованию кристаллов в моче, оказывая, таким образом, двойное ингибирующее действие (М. Marangella, 2017). Его подщелачивающий эффект имеет большое значение при избытке мочевой кислоты и цистиновых конкрементах. Изменение физико-химического состава мочи под воздействием цитрата уменьшает интенсивность процессов кристаллизации в моче, увеличивает растворимость сформировавшихся конкрементов, способствует ингибированию камнеобразования посредством снижения концентрации литогенных веществ, нормализации рН и падения агрегационной активности мочи (М. Marangella, 2017).
Доказательная база: мнение экспертов Кокрановского сообщества.
Эффективность цитратной терапии в лечении МКБ анализировалась различными учеными, а также экспертами такой авторитетной международной организации, как Кокрановское сообщество. R. Phillips и коллеги (2015) опубликовали систематический обзор результатов 7 исследований (n=477), подчеркнув, что в шести исследованиях результативность цитрата калия сравнивалась с плацебо или с отсутствием медикаментозной терапии, и в одном результативность цитрата натрия/магния сравнивалась с плацебо. Эксперты убедительно доказали, что по сравнению с контролем цитратная терапия способствовала достоверному уменьшению размеров конкрементов (4 исследования, n=160; отношение рисков, ОР 2,35; 95% ДИ 1,36-4,05), препятствовала образованию новых конкрементов (7 исследований; n=324; ОР 0,26; 95% ДИ 0,10-0,68). К преимуществам цитратной терапии представители Кокрановского сообщества отнесли остановку кристаллизации и уменьшение размеров конкрементов (4 исследования; n=160; ОР 1,97; 95% ДИ 1,19-3,26). Авторы систематического обзора подчеркнули хорошую переносимость цитратной терапии: частота побочных явлений со стороны желудочно-кишечного тракта не превышала частоту таковых в группе плацебо. Потребность в назначении повторного лечения в группе цитратной терапии была значительно меньше по сравнению с контролем (2 исследования; n=157; ОР 0,22; 95% ДИ 0,06-0,89). «Цитратные соли помогают предотвратить формирование конкрементов и останавливают рост камней у пациентов с резидуальными конкрементами», - констатируют эксперты.
Результаты клинических исследований: лучше один раз увидеть
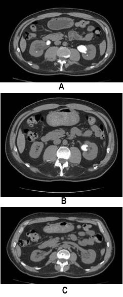
Эффективность цитратной терапии в лечении МКБ подтверждают результаты различных исследований, однако наиболее яркое подтверждение целесообразности ее назначения можно найти в сообщении М. Barbera и соавт. (2016), представленном на 20-м Национальном конгрессе SIEUN. Итальянские врачи рекомендовали 59-летнему мужчине, у которого при проведении компьютерной томографии (КТ) без контрастирования обнаружены конкременты в правой (размером 30×20 мм, плотностью 400 HU) и левой (40×30 мм, 500 HU) почке (рис. 1А), длительный прием цитрата для ощелачивания мочи.
Спустя 4 месяца лечения медики не только констатировали изменение рН мочи, но и отметили исчезновение конкремента в правой почке и значительное уменьшение в размерах литолита в левой почке (рис. 1В). Через 7 мес. на контрольных КТ-сканах ни в одной почке не выявлено ни одного конкремента (рис. 1С). Итальянские специалисты отметили хорошую переносимость цитратной терапии: несмотря на наличие значимой сопутствующей патологии (сахарного диабета, ишемической болезни сердца), прием цитрата не сопровождался появлением нежелательных явлений.

Рис. Эффективность 7-месячной цитратной терапии в лечении уролитиаза (Barbera M. et al., 2016)
Подобные данные представлены в недавно опубликованном ретроспективном исследовании, выполненном под руководством А. Elsawy (2019). Согласно дизайну исследования, пациентам с рентген-негативными конкрементами в почках (n=212) на протяжении 6 месяцев проводили цитратную терапию, а также рекомендовали соблюдать диету и употреблять большое количество жидкости (до 3 л/сут). Первичным критерием оценки являлась площадь поверхности конкрементов. На момент включения в исследование средняя площадь поверхности мочевых камней составляла 1,3 см2 (0,16-11,84). При проведении КТ спустя 3 месяца у 53,2% пациентов конкременты в почках не обнаружены, 35,7% больных признаны частично ответившими на лечение (литолиты обнаружены, но их площадь значительно уменьшилась). Спустя 6 месяцев лечения эффективность цитратной терапии значительно возросла: конкременты отсутствовали у 83% пациентов. Таким образом, по данным А. Elsawy, уже через 3 мес. отмечен достоверный положительный ответ на цитратную терапию, выразившийся полным растворением камней у более чем половины пациентов (р=0,001). Среди прочего было отмечено снижение плотности конкрементов (р=0,03) и стабильное поддержание высокого рН мочи (р=0,01). А через 6 месяцев терапии все эти позитивные сдвиги ещё более усилились и стали расцениваться как ключевые независимые факторы высокой потенциальной эффективности цитратной терапии в растворении конкрементов.
Метафилактика: предупреждая рецидивирование камнеобразования
Как утверждают результаты метаанализа 4 исследований (n=374), 12-месячной цитратной терапии по силе предотвратить рецидив МКБ у больных, перенесших литотрипсию. М. Carvalho и соавт. (2017) зафиксировали значительное и достоверное снижение риска рецидива нефролитиаза у больных, перенесших ударно-волновую литотрипсию и на протяжении 1 года принимавших цитратную смесь (ОР; 95% ДИ 0,21 (0,13-0,31)).
Не менее интересны результаты систематического обзора, представленного Е. Monti и соавт. (2016), в котором ученые показали безоговорочное превосходстве цитратной терапии над фитотерапией в профилактике МКБ. Проанализировав результаты 16 исследований, в которых эффективность фитотерапии сравнивалась с применением цитрата или плацебо, эксперты убедительно доказали, что цитратная терапия намного превосходит лекарственные травы в уменьшении размеров конкрементов. Уже спустя 3 мес. лечения средние размеры конкрементов у пациентов, принимавших цитратную терапию уменьшились значительно больше, чем у больных, получавших фитопрепараты (р<0,0001). Цитратная терапия позволяла увеличить скорость экскреции уратов с мочой на 42,32 мг/сут (95% ДИ 19,44-65,19; р=0,0003) по сравнению со средствами, содержащими лекарственные травы.
БЛЕМАРЕН – эффективный цитратный препарат
Оптимальным цитратным препаратом является БЛЕМАРЕН («Эспарма», Германия). Это буферная система, содержащая безводную лимонную кислоту, безводный тринатрия цитрат и калия гидрокарбонат, при растворении которых образуется калия/натрия гидроцитрат и углекислый газ. Воздействуя на все ключевые механизмы растворения камней, комплексно восстанавливая работу буферной системы почек, БЛЕМАРЕН растворяет уратные камни и прекращает рост оксалатных конкрементов. При этом повышается уровень цитрата в моче, смещается рН мочи до нейтральных или слабощелочных значений, что позволяет предотвратить кристаллизацию солей и образование камней. Помимо этого, БЛЕМАРЕН способствует разрыхлению существующих литолитов, изменяя их кристаллическую структуру, уменьшая плотность, вес, размер, создавая благоприятные условия для проведения ударно-волновой литотрипсии, а также повышая её эффективность и безопасность. Цитратная терапия с применением препарата БЛЕМАРЕН полностью соответствует действующим рекомендациям Европейской ассоциации урологов по лечению уролитиаза (С. Türk и соавт., 2015) и является обязательной при лечении и метафилактике МКБ в Европе, что отражено во всех протоколах лечения. Тем более, что БЛЕМАРЕН хорошо переносится даже при длительном лечении.
Цитратная терапия препаратом БЛЕМАРЕН – залог эффективного лечения и безоперативного растворения конкрементов при уратном и смешанном нефролитиазе, устойчивого замедления роста литолитов при оксалатном уролитиазе.
Список литературы
- Marangella M. [Use of citrate in patients with nephrolithiasis]. G Ital Nefrol. 2017 Aug 1;34(4):51-60.
- Phillips R. Citrate salts for preventing and treating calcium containing kidney stones in adults. Cochrane Database Syst Rev. 2015 Oct 6;(10):CD010057. doi: 10.1002/14651858.CD010057.pub2.
- Barbera М. The importance of potassium citrate and potassium bicarbonate in the treatment of uric acid renal stones. Archivio Italiano di Urologia e Andrologia 2016; 88, 4.
- Elsawy AA. Can We Predict the Outcome of Oral Dissolution Therapy for Radiolucent Renal Calculi? A Prospective Study. J Urol. 2019 Feb;201(2):350-357. doi: 10.1016/j.juro.2018.09.027.
- Carvalho M. Effect of potassium citrate supplement on stone recurrence before or after lithotripsy: systematic review and meta-analysis. 2017 Oct;45(5):449-455. doi: 10.1007/s00240-016-0950-1. Epub 2016 Dec 3.
- Monti E. Herbal medicines for urinary stone treatment. A systematic review. Arch Ital Urol Androl. 2016 Mar 31;88(1):38-46. doi: 10.4081/aiua.2016.1.38.
- Компендиум. 2019. https://compendium.com.ua/dec/274753/
- Türk С. Urolithiasis. 2015. https://uroweb.org/guideline/urolithiasis/#3
Опубликовано в журнале «Рациональная Фармакотерапия» №1(50)'2019


